Con mắt có cấu trúc thần kinh, quang học tinh vi. Tất cả những cấu trúc ấy kèm theo cả các mạch máu nuôi dưỡng, các lớp mô đệm nằm gọn trong nhãn cầu với thể tích vỏn vẹn 4-5 cm3. Nếu không nhờ các thiết bị quang học, phóng đại, nội soi...thì việc thăm khám hay can thiệp vào nhãn cầu gần như là con số không.
Những năm 80 của thế kỷ trước con người đã chứng kiến sự tiến bộ vượt bậc của kỹ thuật chẩn đóan hình ảnh với hệ thống chụp cắt lớp điện tóan – CT scanner, rồi ngay sau đó là chụp cộng hường từ MRI, nay lại thêm PET CT, chụp mạch kỹ thuật số... Ngành nhãn khoa cũng được hưởng lợi ngay những thành tựu này nhưng ở cấp độ tinh vi hơn hẳn , đó là hệ thống chụp cắt lớp dạng 2 ứng dụng: OCT bán phần trước và OCT bán phần sau.

Chiều dầy lớp sợi thần kinh quanh gai thị bị tổn hại trong bệnh glôcôm
Nguyên lý của OCT:
OCT là tên viết tắt tiếng Anh của từ Optical Coherence Tomography, có thể hiểu sang tiếng Việt là chụp cắt lớp quang học. Về nguyên lý hoạt động OCT có nguyên lý gần giống như siêu âm nhưng người ta dùng ánh sáng thay cho sóng âm. Như vậy nếu các môi trường mắt không bị vẩn đục lắm ta có thể dùng OCT quan sát tất cả các cấu trúc của mắt trên không gian 3 chiều, giống như dùng một con dao cắt thật mịn và mỏng các cấu trúc của nhãn cầu với độ phân giải cực cao, không xâm lấn vào tổ chức của mắt đồng nghĩa với không đau đớn và chảy máu. Siêu âm A loại tốt nhất cũng chỉ đảm bảo độ phân giả khoảng 100 micron( 1/10 của mm) thế nhưng OCT đem đến độ phân giải tới 10-20 micron. Do vậy OCT cho ta nghiên cứu ở cấp độ vi thể chứ không phải là đại thể như các thiết bị nhãn khoa khác. Cần lưu ý ngay rằng màu sắc hiển thị trên kết quả OCT hòan tòan là mã hóa chứ không phải là màu thật. Màu sắc được mã hóa để phân biệt các cấu trúc mô và mặt tiếp xúc. Các cấu trúc phản quang mạnh thường được có gam màu đỏ hoặc vàng.

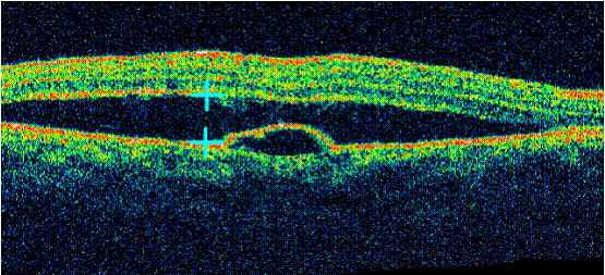
Bệnh hắc võng mạc trung tâm thanh dịch có bong biểu mô sắc tố
Những lợi điểm của OCT bán phần sau:
Võng mạc là một tổ chức thần kinh mỏng như tờ giấy, có vai trò như tấm phim trong máy ảnh, bám vào mặt trong phía sau nhãn cầu giống như giấy dán tường vậy. Võng mạc được tạo thành bởi mặt trong màng cảm giác và mặt ngoài màng nhận màu, giúp mắt cảm nhận được ánh sáng và màu sắc. Nếu võng mạc bị tổn thương sẽ ảnh hưởng rất lớn đến thị lực nhưng nếu được chẩn đoán sớm, người bệnh sẽ có cơ hội bảo vệ được đôi mắt của mình. Chụp cắt lớp võng mạc bằng OCT không những khắc phục được một số nhược điểm của phương pháp khám lâm sàng hay siêu âm mà còn giúp các bác sĩ nhãn khoa chẩn đoán sớm, chính xác và theo dõi diễn biến bệnh trong suốt quá trình điều trị để có biện pháp điều trị thích hợp. Chụp cắt lớp võng mạc có thể coi như một hình thức chụp CT scanner nhưng tỉ mỉ hơn, chính xác hơn, có thể nói là ở mức vi thể. Độ phân giải của OCT đạt mức 10 micron trong khi siêu âm B chỉ là 150 micron cho phép đánh giá sự thay đổi rất nhỏ trong các lớp cấu trúc võng mạc và gai thị. OCT sử dụng nguyên lý ánh sáng, không đau, không chảy máu nên có thể thực hiện nhiều lần trên một bệnh nhân, phương pháp này không tiếp xúc trực tiếp với mắt nên không gây bất kỳ biến chứng nào cũng như sự khó chịu cho người bệnh. OCT cho phép nghiên cứu cả về mặt định tính cũng như định lương các cấu trúc của võng mạc. Trong quá trình định hướng điều trị, theo dõi và tiên lượng bệnh, chụp cắt lớp võng mạc cũng có vai trò quan trọng. OCT cho phép phân tích, đo đạc, dựng bản đồ, lưu trữ ảnh và số liệu, dữ liệu... của các lần thăm khám trước đó và có chương trình so sánh kết quả giữa các lần thăm khám nhằm đánh giá tiến triển của bệnh.
OCT bán phần sau được ứng dụng trong trường hợp nào?
OCT bán phần sau giúp ta dựng lại các cấu trúc, nghiên cứu và đo đạc các thành phần giải phẫu:
- Trước võng mạc
- Trên võng mạc
- Trong võng mạc
- Dưới võng mạc
Bệnh võng mạc trẻ đẻ non( ROP), bệnh võng mạc đái tháo đường, hai bệnh lý gây mù lòa hàng đầu trên trẻ em và người già nhờ có OCT đã có thể chẩn đoán được hình thái, nguyên nhân, lên phương án điều trị. Hàng chục năm trước rất nhiều tổn thương đã không được đánh giá đầy đủ vì các bác sĩ chỉ có trong tay phương pháp chụp mạch hùynh quang. Đối với bệnh hắc võng mạc trung tâm thanh dịch, OCT có thể cho thấy được dịch tích tụ giữa lớp thần kinh cảm thụ và lớp biểu mô sắc tố của võng mạc, đo được kích thước của khối dịch. Ngoài ra, còn có thể xác định vị trí của điểm dò qua vị trí tổn hại hoặc bong lớp biểu mô sắc tố. Trong bệnh lỗ hoàng điểm, OCT xác định có lỗ hoàng điểm, đo được kích thước của lỗ hoàng điểm, có thể thấy được co kéo dịch kính võng mạc gây ra lỗ hoàng điểm và chiều dày võng mạc vùng xung quanh lỗ hoàng điểm...
Ứng dụng của OCT trong chẩn đoán và theo dõi các bệnh gai thị đặc biệt là đánh giá mức độ tổn thương gai thị trong bệnh lý glôcôm: nhiều nghiên cứu cho thấy tổn thương sớm nhất trong bệnh glôcôm là tổn thương lớp sợi thần kinh quanh gai thị, nó còn xuất hiện sớm hơn so với sự tổn hại thị trường. Trước đây, bác sĩ nhãn khoa không biết được mức độ tổn thương của lớp sợi thần kinh này ngay cả sau khi bệnh glôcôm được điều trị nhưng hiện nay, nhờ hệ thống OCT có thể đánh giá được mức độ tổn thương này nên rất có giá trị trong việc chẩn đoán sớm bệnh. OCT còn được sử dụng nhằm đánh giá mức độ teo lõm gai thị, đánh giá viền thần kinh gai thị ...
Thế còn OCT bán phần trước?
Máy OCT bán phần trước là dạng máy chụp cắt lớp sử dụng tia hồng ngoại có bước sóng 1310nm để phân tích các lớp tổ chức nhãn cầu với độ giải ở mức 18 micron. Với bước sóng cao hơn hẳn so với OCT bán phần sau, hệ thống này cho phép các bác sĩ có thể khảo sát các vùng tổ chức đặc biệt mà các dạng máy móc khác không thể khảo sát được như: vùng chân mống mắt, góc tiền phòng cũng như các vùng bị che lấp bởi sẹo giác mạc, màng xuất tiết viêm,…
Với các tính năng ưu việt như vậy OCT bán phần trước phục vụ đắc lực cho chẩn đoán, điều trị, theo dõi các lĩnh vực: bệnh lý và phẫu thuật giác mạc, phẫu thuật khúc xạ; bệnh bán phần trước,bệnh Glôcôm; chẩn đoán & đánh giá phẫu thuật đục thể thủy tinh...
Đánh giá tiền phẫu và hậu phẫu của tất cả các phẫu thuật bán phần trước như ghép giác mạc, phẫu thuật khúc xạ: LASIK, LASEK, PHAKIC...phẫu thuật glôcôm, phẫu thuật thể thủy tinh nay nhờ có OCT bán phần trước đã đơn giản và chính xác hơn nhiều. Người ta thích thú với OCT bán phần trước bởi những tính năng tuyệt vời sau đây:
- Khảo sát độ dày của tòan bộ giác mạc, đánh giả tình trạng giác mạc hình chóp
- Đo đạc chiều dạt của vạt giác mạc trong phẫu thuật LASIK cũng như độ dày của lớp nhu mô còn lại
- Quan sát góc tiền phòng và đánh giá tình trạng góc đóng, hẹp, mở...
- Khảo sát 3 chiều góc tiền phòng , lượng giá để lựa chọn các loại thể thủy tinh phù hợp
- Quan sát, đo đạc , tính tóan các phương án ghép giác mạc và đặt giác mạc nhân tạo
- Cắt lớp nhu mô giác mạc để đánh giá các tổn thương của lớp sinh học này.
Nếu không có một số hạn chế về chỉ định và lưu ý khi tiến hành khám nghiệm chắc chắn OCT đã và đang là phương tiện khám nghiệm hiện đại , đắc dụng, giá cả chấp nhận được trong ngành nhãn khoa. Cả hai hệ thống OCT bán phần sau và trước hiện đang có mặt tại khoa chẩn đóan hình ảnh bệnh viện Mắt Trung ương, phục vụ hàng ngàn lượt bệnh nhân trên khắp cả nước. Vẫn biết yếu tố con người là quan trọng nhưng máy móc hiện đại không thể thiếu trong những trung tâm y khoa hàng đầu. Bệnh viện Mắt Trung ương thật xứng đáng là trung tâm nhãn khoa hàng đầu với ý niệm trên.
BS.ThS Hòang Cương
BS. ThS Nguyễn Kiếm Hiệp
BV Mắt Trung ương